ΔΙΑΒΗΤΙΚΗ ΝΟΣΟΣ ΟΦΘΑΛΜΟΥ
Τι παθαίνει ο διαβητικός στο μάτι;
Σακχαρώδης διαβήτης είναι μια μεταβολική διαταραχή στην οποία για διαφορετικούς λόγους (π.χ. έλλειψη/μείωση των ποσών ινσουλίνης, αντίσταση στην ινσουλίνη κτλ.) τα ποσά σακχάρου (γλυκόζης) στο αίμα είναι υψηλότερα του φυσιολογικού. Η πιο βασική επιπλοκή της υπεργλυκαιμίας εντοπίζεται στα τοιχώματα των αγγείων, με αποτέλεσμα τις βλάβες διαφόρων οργάνων (κυρίως νεφροί, εγκέφαλος και οφθαλμοί), αφού διαταράσσεται η αιμάτωσή τους. Πιο συγκεκριμένα στον οφθαλμό:
Α. Καταρράκτης: ο φακός θολώνει πρώιμα, με αποτέλεσμα οι ασθενείς να παθαίνουν καταρράκτη και να απαιτούν χειρουργική αντιμετώπισή του σε ηλικία νεαρότερη του συνηθισμένου.
Β. Γλαύκωμα: σε πολύ προχωρημένα στάδια παραγωγικής διαβητικής αμφιβληστροειδοπάθειας αναπτύσσονται νέα αγγεία στη γωνία του προσθίου θαλάμου με αποτέλεσμα η ενδοφθάλμια πίεση να αυξάνεται δραματικά, το οπτικό νεύρο να καταστρέφεται και προκαλείται γλαύκωμα (νεοαγγειακό γλαύκωμα). Πέραν τούτου, ο διαβήτης αποτελεί έναν σημαντικό επιβαρυντικό παράγοντα για την επιδείνωση του ήδη υπάρχοντος γλαυκώματος ανοιχτής γωνίας καθώς και κυρίως του γλαυκώματος φυσιολογικής πίεσης. Αυτό σημαίνει ότι σε ασθενείς με γλαύκωμα και μη ρυθμισμένο διαβήτη, το γλαύκωμα συχνά επιδεινώνεται, ακόμα και αν η ενδοφθάλμια πίεση είναι χαμηλή.
Γ. Απόφραξη φλέβας/αρτηρίας του αμφιβληστροειδούς και ισχαιμική οπτική νευροπάθεια: είναι και οι δύο πολύ σοβαρές καταστάσεις που μπορεί να οδηγήσουν μέχρι και σε τύφλωση. Ο διαβήτης είναι μια από τις πολύ βασικές και συνήθεις αιτίες που μπορεί να οδηγήσουν σε μία από τις νόσους αυτές λόγω της απόφραξης αγγείων που σχετίζονται με την αιμάτωση είτε του αμφιβληστροειδούς είτε του οπτικού νεύρου.
Δ. Παράλυση οφθαλμικών νεύρων: για τις διάφορες λειτουργίες των οφθαλμών (πχ κινήσεις των ματιών με τους οφθαλμικούς μύες, κινήσεις της κόρης, αισθητικότητα κτλ.) υπεύθυνα είναι κάποια νεύρα. Ο διαβήτης είναι από τις πιο συχνές αιτίες μικροαγγειακών συμβαμάτων, που μπορεί να προκαλέσουν παράλυση κάποιου από τα νεύρα αυτά, με αποτέλεσμα ποικίλα προβλήματα, όπως για παράδειγμα διπλωπία, πτώση βλεφάρων κτλ.
Ε. Φλεγμονές/λοιμώξεις: ο διαβήτης αποτελεί μια βασική αιτία εξασθένισης του ανοσοποιητικού συστήματος. Αυτό συνεπάγεται αυξημένη συχνότητα μικρότερων ή και σοβαρότερων μολύνσεων του ματιού, όπως για παράδειγμα κριθή/χαλάζιο στα βλέφαρα, λοιμώξεις βακτηριακές ή μυκητιασικές στον επιπεφυκότα ή τον κερατοειδή, ενδοφθαλμίτιδες κτλ.
ΣΤ. Διαβητική αμφιβληστροειδοπάθεια: είναι η πιο συνήθης και από τις πιο σοβαρές επιπλοκές του διαβήτη στο μάτι. Η νόσος παρουσιάζεται αναλυτικά παρακάτω.

Τι είναι η διαβητική αμφιβληστροειδοπάθεια;
Πρόκειται για μια πολύ σοβαρή πάθηση που αποτελεί και την πιο συχνή αιτία τύφλωσης στις ανεπτυγμένες χώρες σε άτομα της παραγωγικής ηλικίας. Πιο συγκεκριμένα τα αυξημένα ποσά γλυκόζης στο αίμα προκαλούν βλάβες στα τοιχώματα των αγγείων του αμφιβληστροειδούς, κάτι που έχει ποικίλες συνέπειες.
Στα αρχικά στάδια (μη παραγωγική διαβητική αμφιβληστροειδοπάθεια) τα αμφιβληστροειδικά αγγεία παρουσιάζουν αυξημένη διαπερατότητα με αποτέλεσμα να εκρέει αίμα («μικροαιμορραγίες»), λιπίδια («σκληρά εξιδρώματα») και λοιπό ενδοαγγειακό υγρό («οίδημα»). Λόγω των παθολογικών αγγειακών τοιχωμάτων σχηματίζονται «μικροανευρύσματα», που επίσης παρουσιάζουν χαρακτηριστική αυξημένη διαπερατότητα. Όταν το οίδημα εντοπίζεται στην ωχρά κηλίδα (το κεντρικό δηλαδή και το πιο ευαίσθητο τμήμα του αμφιβληστροειδούς) μιλάμε για διαβητική ωχροπάθεια, η οποία αποτελεί το πλέον συχνό αίτιο μείωσης της όρασης στους διαβητικούς.

Μη παραγωγική διαβητική αμφιβληστροειδοπάθεια με πολλαπλά σκληρά εξιδρώματα και αιμορραγίες στον οπίσθιο πόλο.
Εάν τα ποσά σακχάρου εξακολουθούν να παραμένουν ψηλά, οι βλάβες των αγγείων επιδεινώνονται με αποτέλεσμα να παρουσιάζεται σημαντική μείωση της αιμάτωσης τμημάτων του αμφιβληστροειδούς («ισχαιμία»). Η ισχαιμία οδηγεί αντιρροπιστικά στην ανάπτυξη νέων αγγείων («νεοαγγείωση») στον αμφιβληστροειδή και στον οπτικό δίσκο, τα οποία όμως είναι παθολογικά και ιδιαιτέρως εύθραυστα, με αποτέλεσμα να οδηγούν σε συχνές αιμορραγίες (που μειώνουν δραματικά την όραση και συχνά απαιτούν χειρουργική αντιμετώπιση) και σπανιότερα ακόμα και σε ελκτική αποκόλληση του αμφιβληστροειδούς (κατάσταση που συνήθως οδηγεί σε τύφλωση). Πέραν τούτου, σε περιπτώσεις προχωρημένης ισχαιμίας αναπτύσσονται νεοαγγεία ακόμα και στην ίριδα, τα οποία προκαλούν το «νεοαγγειακό γλαύκωμα», μια σοβαρή και δύσκολα αντιμετωπίσιμη μορφή γλαυκώματος που χαρακτηρίζεται από πολύ υψηλή ενδοφθάλμια πίεση που οδηγεί γρήγορα στην τύφλωση και πόνους.

Παραγωγική διαβητική αμφιβληστροειδοπάθεια με νεοαγγεία στην οπτική θηλή
Τι συμπτώματα έχει ένας ασθενής με διαβητική αμφιβληστροειδοπάθεια;
Ιδίως στα αρχικά στάδια της διαβητικής αμφιβληστροειδοπάθειας ο ασθενής δεν έχει κανένα απολύτως σύμπτωμα και αυτό ακριβώς το στοιχείο είναι που κάνει τη νόσο τόσο επικίνδυνη και τα τακτικά check up τόσο απαραίτητα. Το πιο σύνηθες σύμπτωμα είναι η θόλωση της όρασης και επέρχεται ιδίως όταν προσβάλλεται η ωχρά κηλίδα (διαβητική ωχροπάθεια). Ανάλογα το ποσό του υγρού που συσσωρεύεται στην ωχρά παρατηρούν οι ασθενείς συχνά έντονες διακυμάνσεις της όρασης. Στα πιο προχωρημένα στάδια ενδέχεται να προκύψει αιφνίδια απώλεια ή μείωση της όρασης αν συμβεί μια σοβαρή αιμορραγία του υαλοειδούς. Σε μικρότερης έκτασης υαλοειδικές αιμορραγίες βλέπουν συχνά οι ασθενείς απλά πιο θολά ή βλέπουν «μυγάκια». Σε περίπτωση αποκόλλησης του αμφιβληστροειδούς χάνουν την όραση τους σε μια συγκεκριμένη περιοχή του οπτικού τους πεδίου που σταδιακά μεγαλώνει (μέχρι την ολική τύφλωση) όσο επεκτείνεται η αποκόλληση. Τέλος σε περίπτωση νεοαγγειακού γλαυκώματος παρουσιάζεται περιορισμός του οπτικού πεδίου από την περιφέρεια προς το κέντρο (μέχρι την ολική τύφλωση) και ενίοτε οφθαλμικό άλγος, λόγω της υψηλής οφθαλμικής πίεσης.

Παραγωγική διαβητική αμφιβληστροειδοπάθεια με νεοαγγεία στην οπτική θηλή
Διάγνωση της διαβητικής αμφιβληστροειδοπάθειας
Η πλέον σημαντική εξέταση για τη διάγνωση της διαβητικής αμφιβληστροειδοπάθειας είναι η βυθοσκόπηση σε μυδρίαση. Συγκεκριμένα, διαστέλλεται η κόρη των οφθαλμών με τη χρήση ειδικών κολλυρίων και μετά εξετάζεται ο αμφιβληστροειδής για διάφορα παθολογικά σημεία στην σχισμοειδή λυχνία. Με τον τρόπο αυτό γίνεται ο διαχωρισμός των διαβητικών με οφθαλμική προσβολή από τα υγιή μάτια. Ακριβώς επειδή ιδίως στα αρχικά στάδια εξελίσσεται τελείως ασυμπτωματικά η νόσος, θεωρείται υψίστης σημασίας η βυθοσκόπηση τουλάχιστον μια φορά το χρόνο σε όλους ανεξαιρέτως τους διαβητικούς. Στους ασθενείς με παθολογικά σημεία απαιτούνται συχνά πιο ειδικές εξετάσεις για την εκτίμηση της βαρύτητας της νόσου. Μια τέτοια είναι η φλουοροαγγειογραφία, με την οποία εξετάζονται τα αγγεία και η αιμάτωση του αμφιβληστροειδούς, αφού χορηγηθεί ενδοφλεβίως μια ειδική χρωστική ουσία (φλουορεσεΐνη) και ληφθούν φωτογραφίες του βυθού σε συγκεκριμένες χρονικές στιγμές. Μια άλλη ειδική και πολύ σημαντική εξέταση, ιδίως για ασθενείς με μειωμένη όραση, είναι η οπτική τομογραφία συνοχής (OCT). Πρόκειται για μια πολύ μοντέρνα εξέταση, τελευταίας τεχνολογίας, που εστιάζεται στην ωχρά κηλίδα, το κεντρικό δηλαδή και πιο ευαίσθητο τμήμα του αμφιβληστροειδούς, για να εντοπίσει τυχόν συσσωρεύσεις υγρού, λίπους κτλ., καθιστώντας έτσι δυνατή τη διάγνωση και την παρακολούθηση της εξέλιξης της λεγόμενης διαβητικής ωχροπάθειας. Δευτερεύουσες εξετάσεις είναι η γωνιοσκοπία (για την ανίχνευση τυχόν νεοαγγείων στην γωνία του προσθίου θαλάμου) ή ο υπέρηχος (για την αποκλεισμό αποκόλλησης του αμφιβληστροειδούς, όταν αυτό δεν είναι με τη βυθοσκόπηση εφικτό, λόγω μιας υαλοειδικής αιμορραγίας). Οι παραπάνω εξετάσεις δίνουν στον οφθαλμίατρο πληροφορίες για την βαρύτητα και τα συνολικά χαρακτηριστικά της νόσου του κάθε διαβητικού, ώστε αναλόγως να εφαρμοστεί στον κάθε ασθενή εξατομικευμένη θεραπεία, ανάλογα των αναγκών του.

OCT διαβητικού ασθενούς με οίδημα στην ωχρά
Αντιμετώπιση της διαβητικής αμφιβληστροειδοπάθειας
Η αντιμετώπιση είναι ανάλογη των χαρακτηριστικών και της βαρύτητας της νόσου. Όταν έχει προσβληθεί η ωχρά κηλίδα (διαβητική ωχροπάθεια) η πιο αποτελεσματική θεραπεία είναι οι ενδοϋαλοειδικές ενέσεις ειδικών φαρμάκων. Η εξέλιξη στη φαρμακολογία έχει θέσει στη διάθεσή μας πλέον αρκετές ουσίες (Avastin®, Lucentis®, Eylea®, Ozurdex®, Iluvien®, Triamcinolon) η ένεση των οποίων στο υαλοειδές βελτιώνουν ή σταθεροποιούν την όραση, μειώνοντας το παθολογικό υγρό, που συσσωρεύεται στην ωχρά και οδηγεί στη μείωση της όρασης. Εναλλακτική ή συνοδευτική θεραπεία είναι η χρήση του εστιακού laser argon.

Φωτογραφία των σκευασμάτων Lucentis® και Eylea®
Στην περίπτωση που έχουν ήδη αναπτυχθεί νεοαγγεία (παραγωγική μορφή της διαβητικής αμφιβληστροειδοπάθειας) η χρήση του argon laser για παναμφιβληστροειδική φωτοπηξία βοηθάει είτε στην υποστροφή των νεοαγγείων είτε στην διακοπή/επιβράδυνση της επέκτασής τους. Εάν λόγω αιμορραγιών στο υαλοειδές δεν είναι εφικτή η εφαρμογή του laser, εφαρμόζεται η κρυοπηξία με εξίσου καλά αποτελέσματα. Τόσο το λέιζερ όσο και η κρυοθεραπεία προκαλούν ουλοποίηση του περιφερειακού αμφιβληστροειδούς, μειώνοντας έτσι τις ανάγκες του σε οξυγόνο και δρώντας έτσι εναντίον του ερεθίσματος που προκαλεί την ανάπτυξη των νεοαγγείων.
Στις πιο σοβαρές περιπτώσεις που είτε ο αμφιβληστροειδής έχει αποκολληθεί είτε υπάρχει υαλοειδική αιμορραγία που δεν απορροφάται από μόνη της, απαιτούνται συνδυασμένες χειρουργικές επεμβάσεις αφαίρεσης του υαλοειδούς (υαλοειδεκτομή) και κρυοθεραπείας, ενδολέιζερ ή/και εισαγωγή ειδικού υλικού επιπωματισμού όπως αέρας, αέριο ή ειδικό λάδι σιλικόνης.

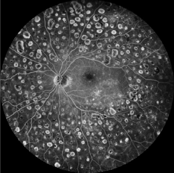
Εικόνα φλουοροαγγειογραφίας αμφιβληστροειδούς μετά από argon φωτοπηξία
Αυτό που πρέπει να τονισθεί με έμφαση είναι ότι ο ακρογωνιαίος λίθος στη διαβητική αμφιβληστροειδοπάθεια, ακριβώς επειδή ο διαβήτης είναι μια χρόνια και σοβαρή νόσος που πολύ δύσκολα αντιμετωπίζεται, είναι η καλή ρύθμιση του σακχάρου, της αρτηριακής πίεσης και της χοληστερόλης. Όταν οι παράμετροι αυτοί είναι καλά ρυθμισμένοι:
Α. είναι μειωμένη η πιθανότητα να προκύψει διαβητική αμφιβληστροειδοπάθεια.
Β. υπάρχει πιθανότητα να υποστρέψουν από μόνες τους κάποιες αρχικές διαταραχές/βλάβες του αμφιβληστροειδούς, χωρίς να χρειάζονται λοιπά θεραπευτικά μέτρα.
Γ. είναι αυξημένη η πιθανότητα να είναι αποτελεσματική η όποια θεραπεία επιλεχτεί.
Δ. η πιθανότητα να υποτροπιάσει ή να επιδεινωθεί η νόσος, μετά από τη θεραπεία, είναι μειωμένη.

